В Ужгороді медики-практики та науковці знайомляться з діагностикою та хірургічним лікуванням пухлин мозку та нервової системи

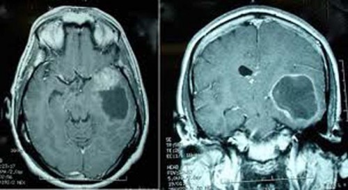
Сьогодні в Ужгороді розпочала свою роботу Міжнародна науково-практична конференція «Актуальні питання нейроонкології». Майже півтори сотні радіологів, рентгенологів, нейрохірургів та невропатологів з України, Угорщини, Словаччини і Білорусії зібрались, щоб обговорити сучасні можливості магнітно-резонансної томографії та комп’ютерної томографії у діагностиці онкологічних захворювань головного та спинного мозку дітей та дорослих. Окремо йтиметься про сучасні методики лікування онкопатологій . В рамках конференції передбачено низку круглих столів та панельних дискусій.

Фахівці-медики та науковці ділитимуться своїм досвідом та вивчатимуть напрацювання колег у діагностиці та хірургічному лікуванні внутрішньо мозкових пухлин та пухлин нервової системи.

Захід проходить під головуванням президента Всеукраїнської асоціації рентгенологів України д.м.н. проф. Олени Шармазанової. Учасників конференції привітав по скайпу заступник міністра охорони здоров’я України Роман Ілик.

Організатори конференції: Асоціація радіологів України, Всеукраїнська асоціація рентгенологів, Обласна дитяча лікарня м. Мукачево, ТзОВ «Сіменс медицина» м. Київ, Гуманітарна місія «SARA» (США), ТОВ МЦ «Діамед» м. Ужгород, Асоціація рентгенології Закарпаття, Асоціація нейрохірургії Закарпатської області, Факультет охорони здоров’я Пряшівського університету (Словацька Республіка), Факультетська лікарня з поліклінікою ім. Й.А . Реймана у Пряшові (Словаччина).
До теми
- У жовтні в Ужгородському перинатальному центрі народилися 90 дівчаток і 90 хлопчиків
- Світло пам’яті на Пагорбі Слави в Ужгороді
- Карета швидкої допомоги «Оксана»: артефакт війни – в Ужгородському замку
- Ужгородці назвали головні проблеми міста та країни в опитуванні ГО «Захист держави»
- Раз на рік – для всіх: в Ужгороді відбувся щорічний День відкритих дверей у резиденції єпископів
- Ужгород відзначає 1132 річницю з часу першої писемної згадки: цікаві факти про місто
- В Ужгороді ветерани, родини військових та переселенці можуть отримати безоплатні юридичні консультації
- У серпні в Ужгороді народилося 222 немовлят - 103 дівчинки та 119 хлопчиків
- З історії ужгородської школи ім. Масарика: в Ужгороді видрукувані унікальні видання
- Фейки та маніпуляції у закарпатських медіа: що робити і чи треба
- Ужгород долучився до всеукраїнської акції «Дзеркало Незалежності»
- Найбільш інстаграмні місця в Ужгороді
- 48 перших класів: в Ужгороді триває підготовка до початку навчання
- Кількість першокласників в Ужгороді зменшилася
- Central Park від SENSAR Development: новий погляд на життя у великому місті
- INCLUSIVE-ED4ALL: освіта для всіх і кожного у сільських громадах України та Румунії
- Раковецька начинка претендуватиме на статус нематеріальної культурної спадщини Закарпаття
- Втрачений Ужгород: про що писали газети сто років тому, у червні 1925-го? (ФОТО)
- 108 хлопчиків та 80 дівчаток, серед яких 4 двійні, народилися в червні в Ужгороді
- Майже 200 тисяч експонатів у понад 40 експозиційних залах у фондах обласного краєзнавчого музею

До цієї новини немає коментарів